18+
Новости Актау и Мангыстау
Ақтау және Манғыстау жаңалықтары
07.11.2021, 19:00

Гибкие фиксирующие стержни установили врачи юному жителю Актау

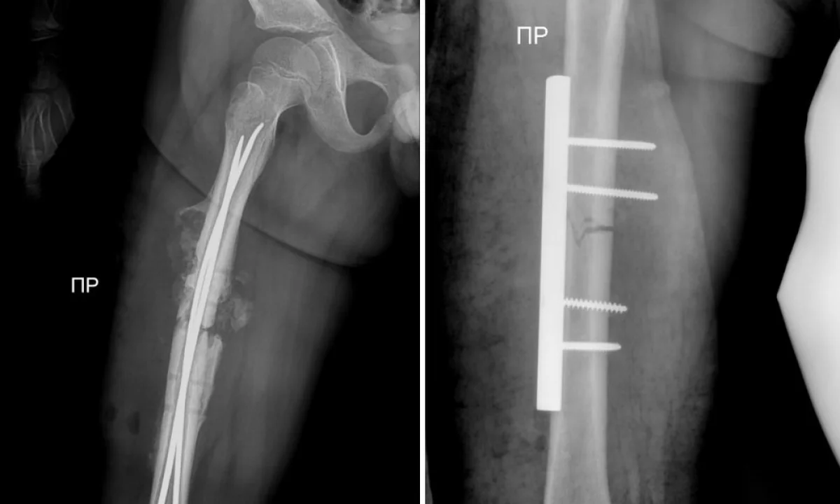
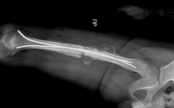
В стенах областной детской больницы впервые была проведена операция по установке гибких фиксирующих стержней, рассказал актауский общественник Азамат Сарсенбаев.
Фото предоставил Азамат Сарсенбаев
Фото предоставил Азамат Сарсенбаев
В августе этого года, по словам Азамата Сарсенбаева, ребёнка сбила машина. У мальчика сломалась кость.

Тогда на базе детской больницы в области бедра ему установили металлические фиксаторы.

Гибкие фиксирующие стержни установили врачи юному жителю Актау


На этой неделе мальчик неудачно упал и у него, к сожалению, сломались фиксаторы.

Врачам на этот раз пришлось повторно проводить операцию.

В течение часа детский хирург Курман Кайранов успешно заменил металлический на более современный гибкий стержень.

- Преимущество гибкого стержня заключается в том, что теперь при переломах больше не требуется делать большие разрезы в конечностях для установки фиксирующих стержней. Достаточно лишь сделать разрез в один сантиметр и вводить гибкий стержень под рентгеновским контролем, - рассказал Курман Кайранов.


Гибкие фиксирующие стержни установили врачи юному жителю Актау
0
0
0
Подпишись на наш канал в Telegram
– быстро, бесплатно и без рекламы
Подписаться

Комментарии

0 комментарий(ев)
Комментарии могут оставлять только зарегистрированные пользователи. Зарегистрируйтесь либо, авторизуйтесь. Содержание комментариев не имеет отношения к редакционной политике Лада.kz.Редакция не несет ответственность за форму и характер комментариев, оставляемых пользователями сайта.