18+
Новости Актау и Мангыстау
Ақтау және Манғыстау жаңалықтары
04.03.2019, 11:43

Множество инородных предметов извлекли врачи Жанаозена из кишечника 12-летней девочки

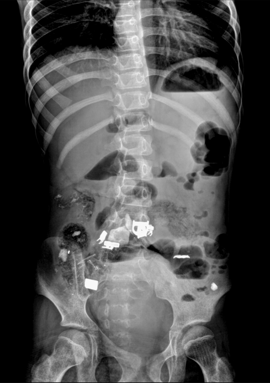
Из брюшной полости девочки были извлечены волосы, ручка, скотч. Об этом сообщили в пресс-службе управления здравоохранения Мангистауской области.
Фото предоставлено пресс-службой управления здравоохранения Мангистауской области
Фото предоставлено пресс-службой управления здравоохранения Мангистауской области
Экстренная операция 12-летней девочке, которая страдает задержкой психического развития (ЗПР) и детским церебральным параличом (ДЦП), была проведена в детской областной больнице Жанаозена.

Множество инородных предметов извлекли врачи Жанаозена из кишечника 12-летней девочки


Девочка поступила в медицинское учреждение в тяжелом состоянии с жалобами на приступообразные боли в животе и многократную рвоту.

- Был проведен рентген органов брюшной полости. Внутри обнаружилось множество инородных тел. Благодаря оперативному вмешательству врачей в ходе операции из кишечника девочки извлекли ручку, скотч, волосы, - сообщили в пресс-службе управления здравоохранения.

Медиками было отмечено, что осложнений в послеоперационном периоде не было. На сегодняшний день ребенок находится в удовлетворительном состоянии.

Не рекомендуется к просмотру впечатлительным, беременным и несовершеннолетним!

0
0
0
Подпишись на наш канал в Telegram
– быстро, бесплатно и без рекламы
Подписаться

Комментарии

3 комментарий(ев)
Empro
Empro
МарияГол,
У ребенка ЗПР и ДЦП, вы о чем говорите?
04.03.2019, 20:02
МарияГол
МарияГол
Экстремалки. Что за нужда глотать канцтовары ? Одна вон недавно волосы глотала.
Что это ? Болезнь ?
04.03.2019, 16:51
Quwanysh Atshybaiuly
Quwanysh Atshybaiuly
Aman-sau qalganyna abzal. Darigerler jarady!
04.03.2019, 16:06
Комментарии могут оставлять только зарегистрированные пользователи. Зарегистрируйтесь либо, авторизуйтесь. Содержание комментариев не имеет отношения к редакционной политике Лада.kz.Редакция не несет ответственность за форму и характер комментариев, оставляемых пользователями сайта.