18+
Новости Актау и Мангыстау
Ақтау және Манғыстау жаңалықтары
04.10.2019, 14:54

Двухлетний ребенок из Жанаозена проглотил соску

Ребенка, проглотившего соску, из Жанаозена доставили в Мангистаускую детскую больницу. Инородный предмет извлечен. Состояние удовлетворительное. Об этом сообщили в управлении здравоохранения Мангистау.
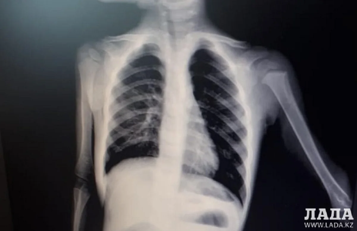
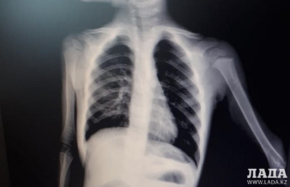
Фото пресс-службы управления здравоохранения Мангистау
Фото пресс-службы управления здравоохранения Мангистау
Ребенка доставили в медучреждение с болями в животе, рвотой и высокой температурой. В ходе обследования медики выявили наличие инородного предмета в желудке.

Двухлетний ребенок из Жанаозена проглотил соску


- Можно сказать, что изначально состояние ребенка было тяжелым, потому что у него была бесконечная рвота, мальчик был бледным и совсем ослаб. Самое главное - операция прошла успешно. В настоящее время двухлетний пациент чувствует себя хорошо. На моей практике за 21 год работы в медицине такое встречается впервые. Да, у нас были случаи, когда ребенок проглатывал монету, инородные предметы, но чтобы соску, такого я раньше не встречал, - рассказал Курман Кайранов, детский хирург высшей категории.
0
0
0
Подпишись на наш канал в Telegram
– быстро, бесплатно и без рекламы
Подписаться

Комментарии

0 комментарий(ев)
Комментарии могут оставлять только зарегистрированные пользователи. Зарегистрируйтесь либо, авторизуйтесь. Содержание комментариев не имеет отношения к редакционной политике Лада.kz.Редакция не несет ответственность за форму и характер комментариев, оставляемых пользователями сайта.