Ребенок поступил в приемный покой многопрофильной клиники SOFIE MEDGROUP. У пациента было затруднено дыхание. Об этом сообщили в медицинском центре.
Фото предоставлено клиникой
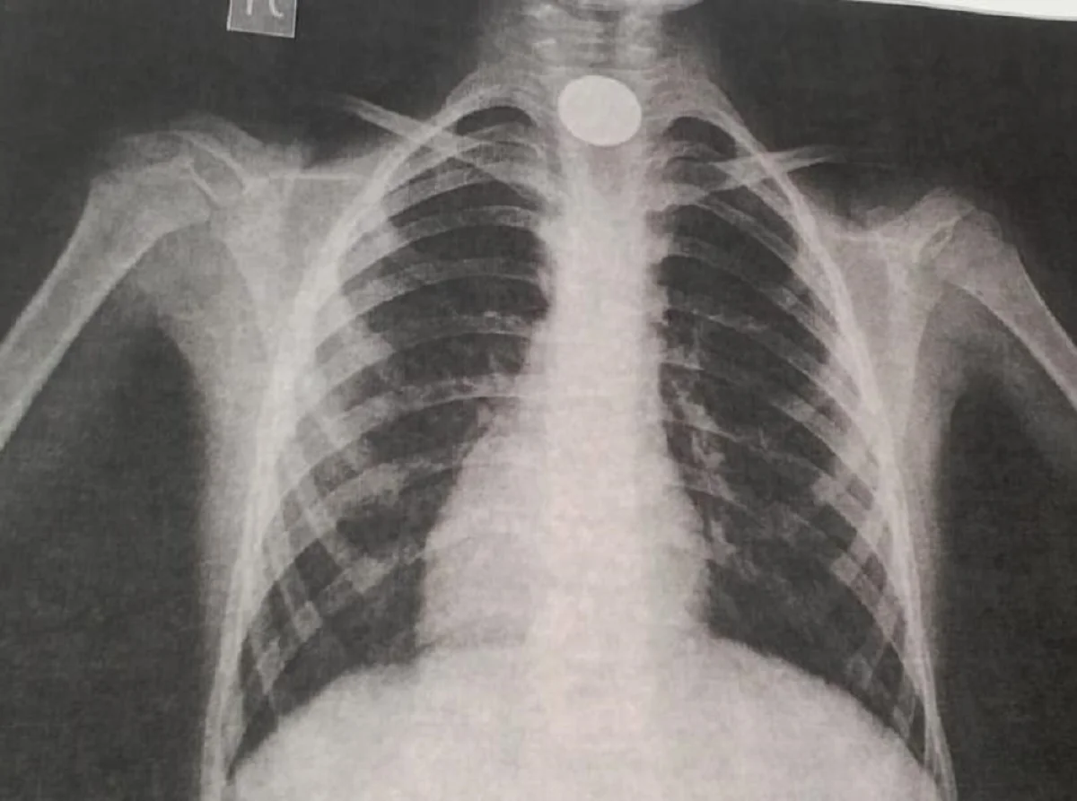
Пятилетний ребенок с инородным телом в пищеводе, которое вызвало затрудненное дыхание, поступил в клинику 22 сентября. Врач-эндоскопист Роллан Елеусинов совместно с бригадой эндоскопистов и анестезиологов клиники провели операцию по изъятию монеты номиналом 100 тенге из желудка маленького пациента.
- Монета находилась в пищеводе ребенка. Когда приступили к операции, она уже опустилась в желудок. Операция длилась около 40 минут. Сейчас ребенок чувствует себя удовлетворительно и идет на поправку. Просим родителей быть более внимательными к маленьким детям. Убирайте с поля зрения мелкие предметы: магнитики, копейки, иголки, булавки, батарейки и т.п. Подобные ситуации случаются довольно часто. Благодаря оперативному реагированию и вмешательству положительный исход ситуации очевиден, – отметили в медицинском учреждении.
ВНИМАНИЕ! ВИДЕО НЕ РЕКОМЕНДУЕТСЯ К ПРОСМОТРУ ВПЕЧАТЛИТЕЛЬНЫМ ЛЮДЯМ
странно, что в пять лет ребенок не понимает что это в рот брать нельзя....
Если б только пятилетние не знали.Когда выуживают более странные вещи из более взрослых организмов))), вот где безграничное удивление возникает))
25.09.2018, 16:38
Комментарии могут оставлять только зарегистрированные пользователи. Зарегистрируйтесь либо,
авторизуйтесь. Содержание комментариев не имеет отношения к редакционной политике
Лада.kz.Редакция не несет ответственность за форму и характер комментариев, оставляемых
пользователями сайта.
kolu411 →Может управлять этими финансами нужно нормально а не давать друзьям-знакомым под 2%? Почему мы в банке берем кредит под 18% а наши пенсионные накопления раздаются под мизерные проценты по миру?
Argallo →Не 26 и 36% соттветственно, а 10 и 20%. Бизнес так любит плакать о налогах, но НДС оплачивает конечный покупатель в виде нищего народа. Бизнес не свои деньги отдает.
Комментарии
2 комментарий(ев)Если б только пятилетние не знали.Когда выуживают более странные вещи из более взрослых организмов))), вот где безграничное удивление возникает))