18+
Новости Актау и Мангыстау
Ақтау және Манғыстау жаңалықтары
11.04.2019, 10:49

Врачи Актау провели операцию на головном мозге гражданину Афганистана

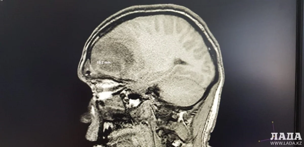
Пациент поступил в бессознательном состоянии в Мангистаускую областную больницу (МОБ) 4 апреля. У него было обнаружено гнойное образование в голове. Об этом сообщили в пресс-службе управления здравоохранения Мангистауской области.
Фото предоставлено пресс-службой управления здравоохранения Мангистауской области
Фото предоставлено пресс-службой управления здравоохранения Мангистауской области
Гражданин Афганистана прилетел транзитом из Алматы в Актау. В аэропорту лишился сознания, и его доставили на Скорой помощи в МОБ.

Нейрохирург после обследования пациента обнаружил у него гнойник в головном мозге. В ходе операции, длившейся более четырех часов, объемное гнойное образование было удалено.

Врачи Актау провели операцию на головном мозге гражданину Афганистана

Фото предоставлено пресс-службой управления здравоохранения Мангистауской области.

- После успешного удаления абсцесса состояние больного остается крайне тяжелым, но стабильным. Со слов родственников и сопровождающих, пациент около двух месяцев назад на родине получил травму головы в быту, - сообщили в пресс-службе управления здравоохранения.
0
0
0
Подпишись на наш канал в Telegram
– быстро, бесплатно и без рекламы
Подписаться

Комментарии

0 комментарий(ев)
Комментарии могут оставлять только зарегистрированные пользователи. Зарегистрируйтесь либо, авторизуйтесь. Содержание комментариев не имеет отношения к редакционной политике Лада.kz.Редакция не несет ответственность за форму и характер комментариев, оставляемых пользователями сайта.