18+
Новости Актау и Мангыстау
Ақтау және Манғыстау жаңалықтары
19.05.2022, 13:36

В Мангистау врачи спасли жизнь 70-летнему мужчине

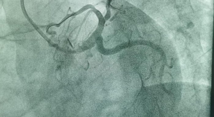
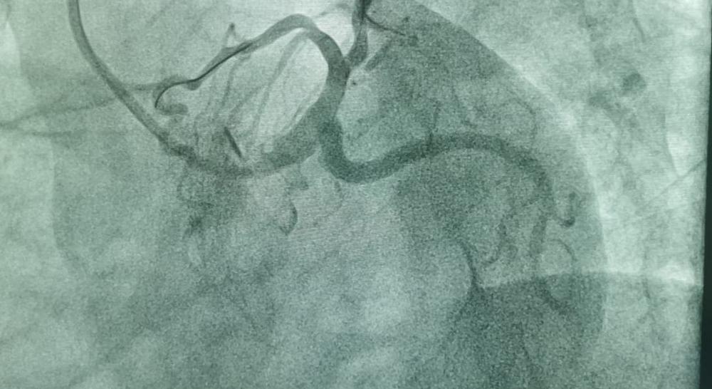
В Мангистауской областной многопрофильной больнице прооперирован пациент с 99% бифуркационным стенозом коронарных артерий. Операция прошла успешно. Об этом сообщили в центре общественных коммуникаций региона.
Фото из архива lada.kz
Фото из архива lada.kz
В пресс-службе областной больницы рассказали, что пациент 1952 года рождения поступил в областную больницу в плановом порядке.

- Мы провели коронарографию. В результате было выявлено 99% поражения коронарных артерий. Стеноз коронарных артерий – это сужение просвета сосудов, поставляющих кислород и питательные вещества к сердцу, - пояснил врач-аритмолог Курбанали Сабдинов.

В Мангистау врачи спасли жизнь 70-летнему мужчине


По словам врачей, подобный диагноз опасен для жизни. Риск сердечного приступа у пациента был очень высок. В связи с этим врачи рекомендовали ему стентирование коронарных артерий на республиканском уровне в Нур-Султане или Алматы. Но пациент отказался от этого предложения.

- Тогда актауские врачи пригласили коллегу из столицы для проведения операции в стенах областной больницы. Операция проведена с участием старшего ординатора ангиохирургии, интервенционного врача-кардиолога и интервенционного аритмолога 1 категории областной больницы Курбанали Сабдинова. Операция прошла успешно. После стентирования больной был переведен в палату. На данный момент он выписан домой, - сообщили в центре общественных коммуникаций региона.
0
0
0
Подпишись на наш канал в Telegram
– быстро, бесплатно и без рекламы
Подписаться

Комментарии

0 комментарий(ев)
Комментарии могут оставлять только зарегистрированные пользователи. Зарегистрируйтесь либо, авторизуйтесь. Содержание комментариев не имеет отношения к редакционной политике Лада.kz.Редакция не несет ответственность за форму и характер комментариев, оставляемых пользователями сайта.