18+
Новости Актау и Мангыстау
Ақтау және Манғыстау жаңалықтары
21.01.2021, 09:55

Младенца с инсультом спасли врачи в Мангистау

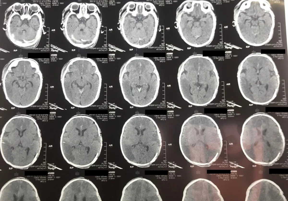
Врачи спасли жизнь двухмесячного ребенка, у которого случился инсульт. Об этом сообщили в Мангистауской областной многопрофильной детской больнице.
Фото предоставил Ербол Кенжевалов
Фото предоставил Ербол Кенжевалов
Ребенка с диагнозом «Острое нарушение мозгового кровообращения» (инсульт новорожденных) доставили в Мангистаускую областную многопрофильную детскую больницу 9 января.

У двухмесячного младенца зафиксировали отек головного мозга, дислокационный синдром и кому I-II степени. Благодаря усилиям врачей, 10 января состояние ребенка удалось стабилизировать. В экстренном порядке ему провели операцию по трепанации черепа, которая продлилась два часа.

- Такие случаи редко заканчиваются положительным результатом, но нам удалось спасти ребенка. В настоящий момент пациента перевели в отделение травматологии, он находится в среднетяжелом состоянии, - сообщил Ербол Кенжевалов, детский нейрохирург.
0
0
0
Подпишись на наш канал в Telegram
– быстро, бесплатно и без рекламы
Подписаться

Комментарии

1 комментарий(ев)
Феникс
Феникс
Боже мой, такая кроха и такой страшный диагноз. Малышу здоровья, родителям сил и терпения, врачам ОГРОМНАЯ БЛАГОДАРНОСТЬ.
21.01.2021, 22:25
Комментарии могут оставлять только зарегистрированные пользователи. Зарегистрируйтесь либо, авторизуйтесь. Содержание комментариев не имеет отношения к редакционной политике Лада.kz.Редакция не несет ответственность за форму и характер комментариев, оставляемых пользователями сайта.